その人生に、
笑顔の数が増えますように。
写真を撮るとき、つい口元を隠しちゃう。
心から笑いたいのに、歯並びが気になっちゃう。
そんなあなたに、ちょっといいお知らせ。
実は、矯正治療って思ってるより手軽なんです。
透明で目立たないマウスピース、
短期間で改善できる部分矯正、
お仕事に支障がない治療法。
矯正の選択肢は意外とたくさんあるから、
まずは気楽に相談してみませんか?
矯正治療を通して、
あなたの人生をちょっと明るくしたい。
そう考えるYardから、あなたに合った治療をご提案します。










気軽にはじめる マウスピース矯正
目立たず、自然に笑える
透明なマウスピースだから、人に気づかれず矯正が進められます。仕事や学校でも、いつも通り自然な笑顔で過ごせます。
取り外せて、ストレスが少ない
食事や歯磨きのたびに外せるので、普段通りの生活が可能。虫歯になりにくく、通院も少ないため、自分のペースで無理なく続けられます。
部分矯正なら最短3ヶ月から
前歯の軽い歯並びなら最短3〜6ヶ月、全体矯正でも最短6ヶ月程度〜改善が期待できます。短期間で変化を実感しやすいのが特徴です。
専門診断で安心のプラン設計
CT・セファロ分析、3Dスキャンによるシミュレーションで歯の動きを精密に確認。一人ひとりに合わせた最適な治療計画をご提案します。
Yardの特徴
豊富な症例経験に基づく、安心のマウスピース矯正
多くのインビザライン症例を手がけてきた経験をもとに、歯並びの状態やライフスタイルに合わせた最適な治療をご提案します。院内には矯正認定医も在籍しており、専門的な知見を取り入れながら、安心して通える体制を整えています。
忙しい方でも続けやすい体制
お仕事や子育てで通院時間の確保が難しい方にも安心。オンライン相談やLINEでのサポートを活用し、来院前の不安や疑問も気軽に解消できます。短時間の診療システムで、無理なく続けられる通院環境を整えています。
安心して始められる料金設計
初診カウンセリングから費用の説明まで、すべて明確にご案内します。分割払い・デンタルローンに加え、自動精算機を導入。クレジットカード・電子マネー・QR決済など、あらゆるお支払い方法に対応しており、安心して治療を始められます。
精密な診断と経験を生かした、計画的な矯正治療
CT・セファロ分析、3Dスキャンによるシミュレーションで、治療前に歯の動きを可視化。「どんなふうに歯並びが変わるのか」を事前に確認できるため、治療の精度と安心感がさらに高まります。
料金について
矯正治療は、歯並びや噛み合わせの状態によって、治療期間や内容が変わります。「思ったより長いかも」「費用が気になるかも」と感じることもありますが、ご希望やご状況に合わせて、無理のない進め方を一緒に考えていきます。
Light
ライトプラン
前歯の軽度なズレや後戻りなど、 動かす範囲が限られる方に向いています。
Moderate
モデレートプラン
軽度な奥歯の移動を含め、 見た目と噛み合わせを整えたい方に向いているプランです。
Comprehensive
コンプリヘンシブプラン
口元の印象と噛み合わせを含めて、 全体をしっかり整えたい方のためのプランです。(抜歯が必要なケースを含みます)
※金額は全て税込表示です。
※費用・期間は、歯並びや噛み合わせの状態により変動する場合があります。
※矯正治療費とは別に、精密検査・保定装置代として50,000円(税込)がかかります。
※分割費用は、実質年率4.3%、84回分割想定です。
※状態によっては、前歯のごく一部のみを対象とした部分的な治療(22万円程度)(月額3,000円〜)が適応となる場合もあります。
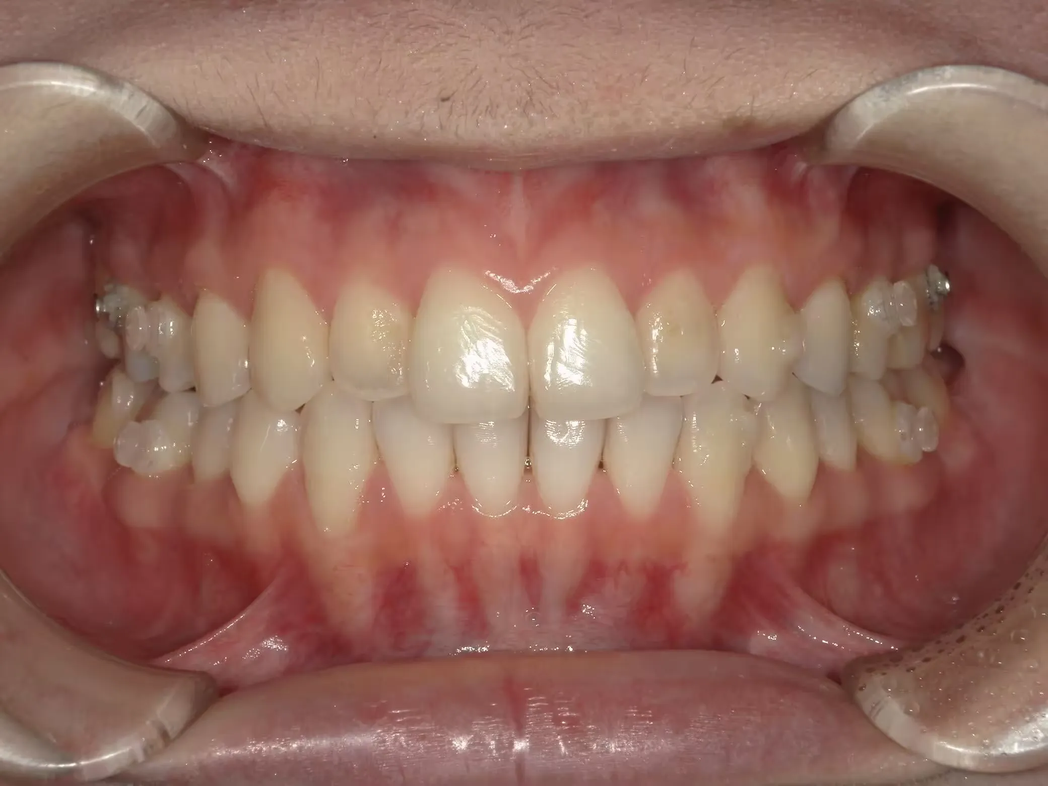
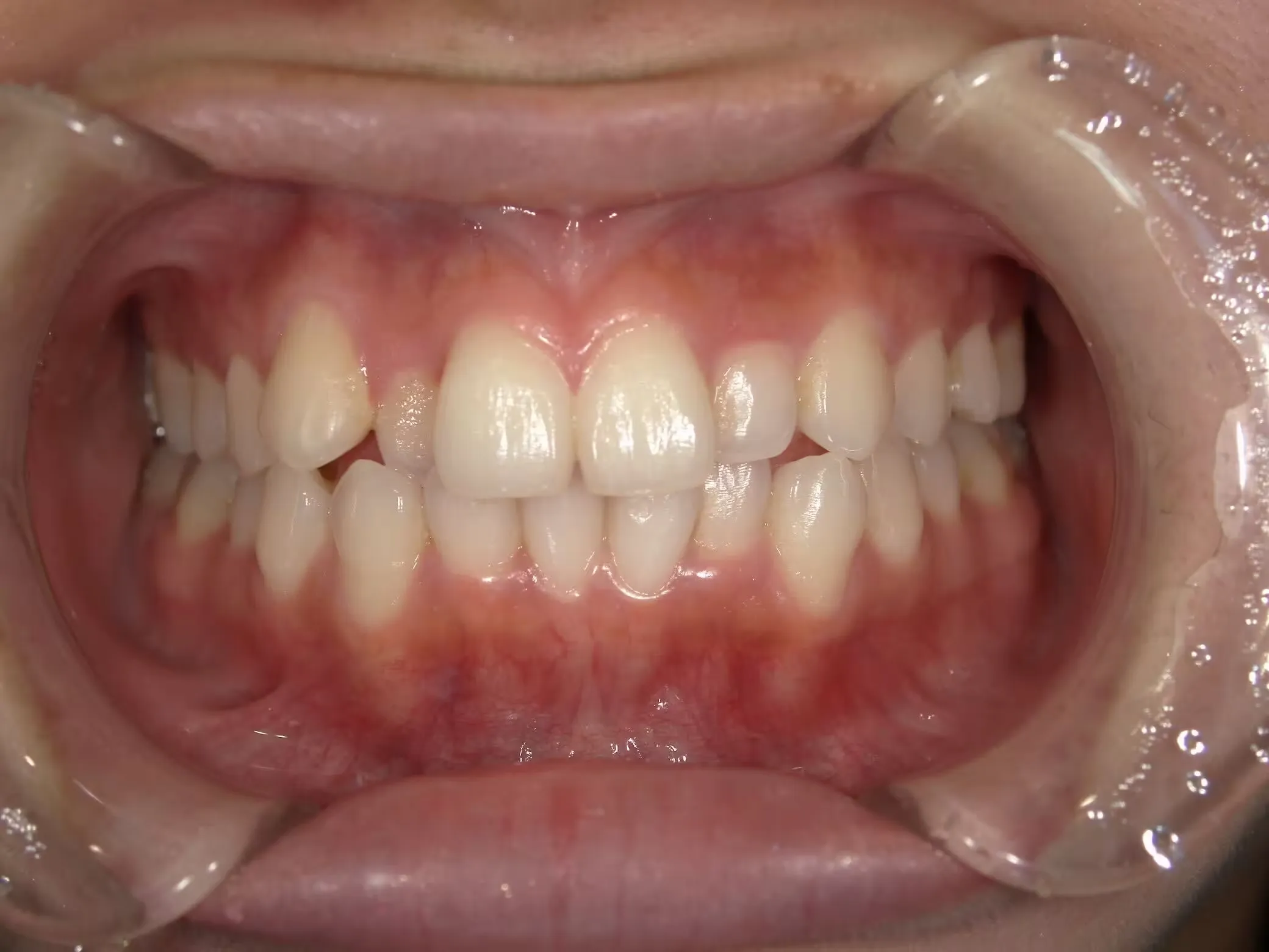
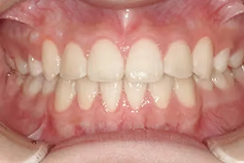
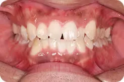
治療事例と費用
治療内容や期間、費用は、歯並びの状態によって異なります。ここでは、実際の治療例の一部をご紹介しています。
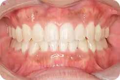
インビザラインのマウスピース矯正
ずっと気になっていた歯並びが治って、思いっきり笑えるようになりました
インビザラインのマウスピース矯正
見た目が整って自信が出ました。噛み合わせも良くなり、カウンセリングも親切でした
インビザラインのマウスピース矯正
※掲載しているお写真は、当院で治療を受けられた患者様にご協力いただき、許可を得て掲載しています。
※治療の経過や仕上がりには個人差があり、すべての方に同じ結果をお約束するものではありません。
※治療期間・使用する装置・通院回数は、お口の状態や治療計画によって変わります。
※矯正治療では、歯の移動に伴う違和感・痛み、虫歯・歯周病、後戻り、歯根吸収などのリスクが生じることがあります。
※費用は標準的な目安であり、症例や治療内容により異なります。詳しくはカウンセリングにてご説明します。
※自由診療(保険適用外)です。再診料・処置料が別途必要となる場合があります。
※ビフォーアフター写真は実際の経過をわかりやすくお伝えするためのもので、効果を過度に強調する意図はありません。
治療の流れ
矯正治療を検討されている方には、まず現在のお口の状態を確認します。歯並びだけでなく、虫歯や歯周病、親知らずの状態も含めて確認し、無理のない治療の進め方を考えます。
初回カウンセリング
歯並びで気になる部分や疑問点などを伺い、虫歯や歯周病の状態、親知らずの有無なども確認したうえで、患者様それぞれに最適な矯正方法を考えます。
必要に応じて、保険診療での検査や歯石除去などのクリーニングを行う場合があります。
精密検査・治療説明
視診・模型分析・横顔や骨格のバランスを確認するレントゲン撮影(セファロ)・CT撮影等を行い、歯並びや噛み合わせを多角的に評価したうえで、治療計画を立案します。
矯正装置の選択や治療期間、費用に加えて、抜歯が必要となるかどうかについても、この段階で詳しくご説明します。
治療スタート
矯正装置を取り付け・お渡しし、治療に際しての注意点やお手入れの方法を丁寧にご説明します。
よくあるご質問
私の歯並びでもマウスピース矯正はできますか?
多くの歯並びに対応できますが、歯の移動量が大きい場合や骨格的な要因が強い場合は、別の矯正方法が向いていることもあります。まずは精密な診断を行い、どの方法が最も適しているか丁寧にご提案します。
費用はどれくらいですか?追加料金はありますか?
総額の目安は税込40万〜80万円(月々5,000円〜)です。基本的に大きな追加料金が必要になることはありません。Yardでは、そういった場合も事前にお伝えし、なるべく総額がわかりやすい料金設定にしています。カウンセリング後に、個別の明確な見積りをご提示します。
治療期間はどれくらいですか?
軽度の歯並びであれば短めに、しっかり噛み合わせまで整える場合は1年以上かかることもあります。多くの方は6ヶ月〜2年の範囲です。毎日の装着時間を守ることで、予定通り進めやすくなります。
通院頻度はどのくらいですか?オンラインチェックはありますか?
1〜2ヶ月に1回が一般的です。アライナー交換のタイミングや細かい確認はオンライン(LINE)でも対応できるため、忙しい方や遠方の方でも負担が少ない治療スタイルです。
痛みはありますか?
アライナー交換直後に、押されるような軽い痛みが出ることがありますが、数日で落ち着く方がほとんどです。ワイヤー矯正のような強い痛みは少なく、日常生活に大きな支障はありません。
周囲に気づかれますか?発音への影響は?
透明で薄いアライナーのため、会話中でも気づかれにくいです。発音は装着初日に軽い違和感が出ることがありますが、多くの方は数日以内に慣れます。接客業や営業の方でも問題なく使用されています。
食事や仕事・運動への影響はありますか?
食事のときは外すため、基本的な制限はありません。仕事やスポーツも普段通り行えます。コーヒーやお茶は着色を避けるため、アライナーを外して飲むことを推奨しています。
抜歯が必要になる場合はありますか?
基本的には歯を抜かずに治療できるよう計画しますが、歯の重なりが強い場合は抜歯を選択する方が仕上がりが良くなるケースもあります。抜歯の有無はメリット・デメリットを含め、丁寧に説明したうえで判断します。
マウスピースをなくした・割れた場合はどうなりますか?
データが残っているので再作製が可能で、基本的には料金は発生しません。状況に応じて前のアライナーに戻ったり、次のステージに進む場合もあります。治療が大きく遅れないよう、最適な対応方法をその場でお伝えします。
後戻りはしませんか?保定はどれくらい必要ですか?
矯正後は、保定用マウスピース(リテーナー)を使用して後戻りを防ぎます。最初の半年〜1年は毎日、その後は就寝時の使用が目安です。保定期間もしっかりフォローしながら進めていきます。
医療費控除の対象になりますか?
噛み合わせ改善を目的とした矯正は、医療費控除の対象になる場合があります。手続きの方法や必要書類についてもご案内できますので、希望される方はお気軽にお尋ねください。
子どものマウスピース矯正は可能ですか?
お子さまの歯の生え方や顎の成長により、6歳頃から対応できるケースもあります。大人と異なり成長を利用できる時期があるため、早期相談もおすすめです。
デンタルローンは利用できますか?分割払いは可能ですか?
はい、ご利用いただけます。デンタルローン(JACCS)を使うことで、月々のお支払いを抑えながら治療を始めることができます。分割回数や金額はご希望に合わせて柔軟に設定でき、審査もスマートフォンから簡単に行えます。費用面の不安がある方も、無理のない範囲で進められるようサポートいたします。
LINEでの相談はどのような流れですか?
LINEで友だち追加していただくと、まずスタッフからご挨拶メッセージが届きます。その後、『矯正カウンセリング希望』との一言を添え、お悩み・気になる症状・ご希望の治療内容などをメッセージでお送りください。写真を添えていただくと、より具体的なアドバイスが可能です。ご相談内容を確認のうえ、治療の流れ、費用の目安、抜歯の必要性等を歯科医師より丁寧にお返事します。ご来院の予約もそのままLINEでスムーズにお取りいただけます。
思っていたよりも短期間で自然な仕上がりにして頂き、とても嬉しいです